
CTってどんな検査?
X線を利用して短時間で広範囲の撮影をする検査です。輪切りの断面像を撮影し、胸部X線(レントゲン)では見えないような小さな病変も見つけることが可能です。

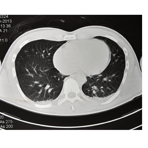
胸部CT
肺の病変を主に観察する検査です。肺炎、肺がん、気胸、肺気腫などの肺の病気の観察をすることができます。

腹部CT
肝臓、腎臓、脾臓、膵臓などのお腹にある臓器の観察を行います。

大腸CT
ガスを使って大腸を膨張さて撮影する検査です。コンピューターで解析をして病変を観察する検査になります。

PET-CT
体内にごく少量の放射性薬剤を注射し、その薬剤が集まる様子を見る検査。がん細胞はブドウ糖を大量に使う性質があるため、放射性薬剤が集まることを利用した検査。
