
MRIってどんな検査?
MRI(磁気共鳴画像)検査は、強い磁気と電波(ラジオ波)を使って体の内部を画像化する検査です。放射線を使用しないため被ばくの心配がなく、安全性が高いのが特徴です。脳や脊髄、関節、内臓などの軟らかい組織を鮮明に描き出すことができ、病変の早期発見や詳細な診断に役立ちます。検査中は大きな音がしますが、痛みはありません。検査時間は部位によって20〜40分ほどで、健康診断では特に脳の状態確認に用いられます。

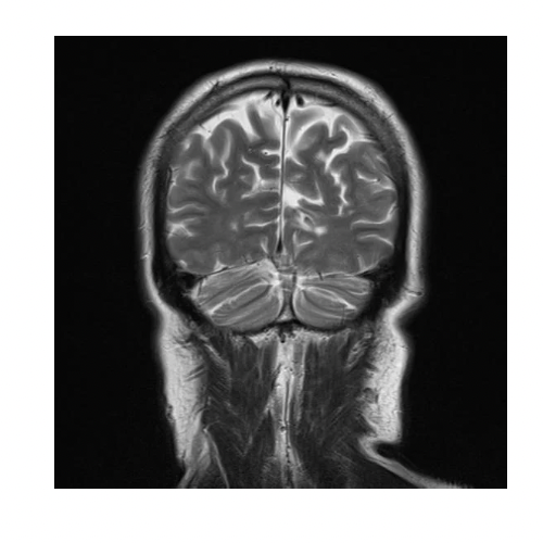
頭部MRI
脳の中の撮影をします。主に脳梗塞、脳腫瘍、脳動脈瘤などの病変がないかを確認します。

上腹部MRI
膵臓、肝臓、胆のう、脾臓といった臓器を観察します。

骨盤MRI
男性の場合
前立腺や精巣を観察します。
女性の場合
卵巣や子宮の観察をします。
